La Clinica Dentale Coppola si avvale delle più moderne tecniche
Aree di intervento
Ricerca, tecnologia e competenza: scopri in cosa siamo specializzati
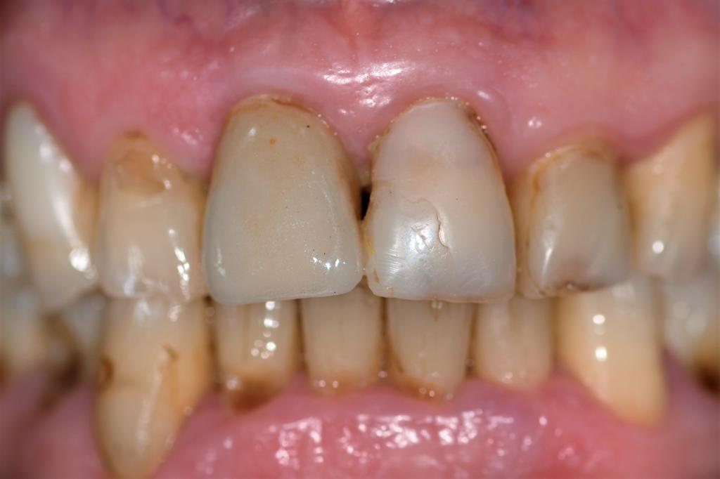
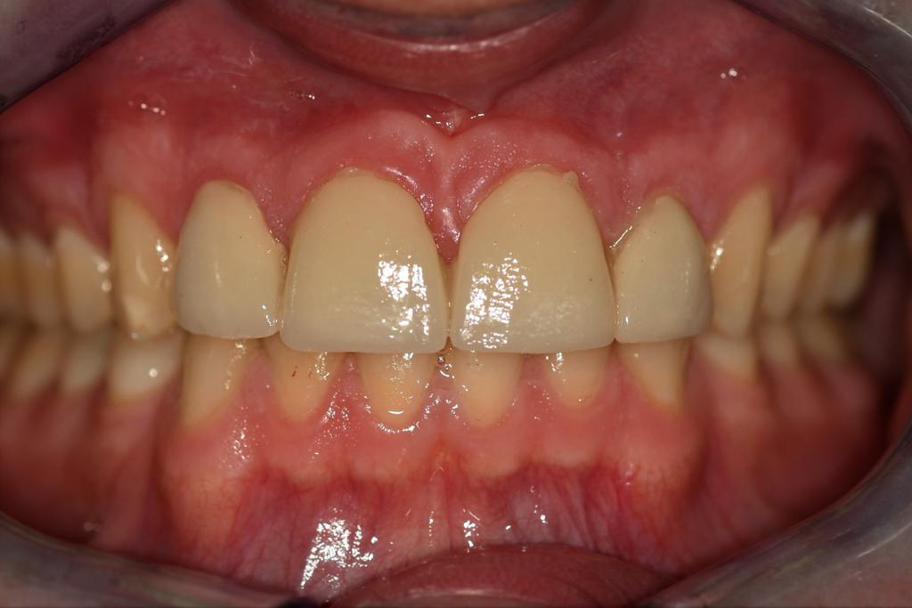
Faccette e Corone in ceramica
Grazie al ricorso alle faccette dentali estetiche è possibile ottenere un sorriso perfetto, in maniera indolore ed efficace. L’applicazione delle fascette consente di intervenire su forma, colore, lunghezza e posizione dei denti. Un sistema innovativo per risolvere inestetismi o problemi masticatori.
Implantologia
L’implantologia dentale è una procedura di riabilitazione di alto valore estetico rivolta a chi, per vari motivi, ha perso i denti naturali. La Clinica Dentale Armando Coppola si avvale di tecnologie all’avanguardia assicurando risultati estetici impeccabili, senza i fastidi delle protesi mobili.

Chirurgia orale
La chirurgia orale è la branca dell’odontoiatria che riguarda tutti gli interventi chirurgici concernenti il cavo orale. Il nostro staff è al servizio dei pazienti per ogni necessità. Dalle estrazioni dentarie fino ai più complessi interventi chirurgici relativi all’implantologia.

Parodontologia
La parodontologia si occupa della prevenzione, diagnosi e terapia delle patologie che possono colpire i tessuti a supporto dei denti. L’obiettivo finale della parodontologia è quello di salvaguardare la dentatura naturale, ripristinando la salute dei tessuti del cavo orale.
Endodonzia e Conservativa
L’Endodonzia e Conservativa rappresentano la branca dell’odontoiatria che consiste nella cura dei denti cariati.

Sedazione Cosciente
Nella Clinica Dentale Armando Coppola, per alcune operazioni, i pazienti sono sottoposti a sedazione cosciente. Si tratta di un tipo di sedazione in cui, pur rimanendo cosciente, non si avverte alcun dolore. Inoltre sono mantenuti i riflessi protettivi delle vie aeree e una funzione respiratoria indenne, per cui non si necessita di essere intubati.

Gnatologia
Ci occupiamo con un team dedicato della cura delle patologie a carico degli organi responsabili della masticazione e delle relative funzioni (fonazione, deglutizione e postura).

Laser terapia
Il laser può aiutare nel trattamento di patologie dei tessuti molli e dei tessuti duri. Può intervenire anche per la correzione di difetti estetici.
Ortodonzia
Nella Clinica Dentale Armando Coppola siamo specializzati nella cura e prevenzione delle maleocclusioni dentarie e scheletriche
X-Guide
Grazie al supporto delle tecnologie più sofisticate, questa tecnica innovativa consente di gestire il trattamento dei casi più critici e complessi, anche in presenza di quantità di osso estremamente ridotta.
Impronta digitale
Presso la nostra Clinica Dentale utilizziamo questa tecnologia all’avanguardia per acquisire l’impronta digitale dei tuoi denti, garantendo una precisione incredibile. Grazie a questa metodologia rapida, indolore ed estremamente accurata, possiamo personalizzare il trattamento in base alle tue esigenze specifiche. La tua impronta digitale diventa la chiave per un sorriso perfetto e una salute dentale ottimale.

Fisioterapia ATM
Interventi terapeutici finalizzati a rieducare, attraverso manovre specifiche, la struttura soggetta a disordine mandibolare

Riabilitazione su protesi rimovibile
Il nostro studio dentistico offre un eccellente servizio di riabilitazione su protesi rimovibile totale o parziale per ripristinare la funzione masticatoria e l’estetica del sorriso. Utilizziamo tecnologie all’avanguardia e materiali di alta qualità per garantire risultati eccellenti e soddisfare le esigenze individuali dei nostri pazienti.

Trattamenti estetici
La Clinica offre anche un’ampia scelta di trattamente estetici non invasivi tra cui filler labra, filler rughe, radiofrequenza, radiofrequenza total body, Aqualyx®, acido ialuronico, acido mandelico e dermoabrasione
PRENOTA ORA IL TUO ESAME
Contattaci
Il nostro staff sarà lieto di fissare un appuntamento per un controllo, un trattamento di igiene orale o per un esame a scopo diagnostico.
Indirizzo
Corso Garibaldi, 246
80141 Napoli
Telefono
081 304 2977
Orari al pubblico
Lunedì-Venerdì
9 - 13 / 14 - 20
Sabato 9 - 13
PARTNERS
